La chirurgie orthognathique
Contactez-nous
Qu’est-ce que la chirurgie orthognathique ?
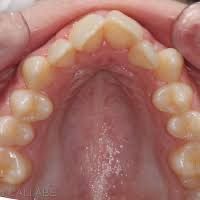
Classe 1
C’est une chirurgie dont le but est de reposi@onner correctement la/les mâchoires
pour obtenir un visage symétrique et bien propor@onné et une occlusion dentaire
stable, en classe 1
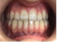
Classe 2
Les rétrognathies : menton et mâchoire inférieure trop en arrière, occlusion en
classe II
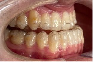
Classe 3
Les prognathies : menton et mâchoire inférieure trop avancés, occlusion en classe III
Classe 3
Les pathologies les plus fréquemment rencontrées sont :
- les prognathies : menton et mâchoire inférieure trop avancés, occlusion en classe
III
De manière générale l’indication opératoire est posée par l’orthodontiste qui adresse le patient vers le chirurgien maxillo-facial afin d’expliquer et de préciser quel type d’intervention est nécessaire : opération de la mâchoire inférieure et/ou supérieure. Un bilan radiologique, photographique et des empreintes dentaires seront réalisés lors des consultations préopératoires.
Comment se déroule l’intervention ?
Les interventions ont lieu exclusivement sous anesthésie générale, les incisions sont endo buccales, il n’existe donc pas de cicatrices cutanées. Les interventions consistent à réaliser des ostéotomies (sections osseuses) selon des tracés précis pour la mâchoire supérieure (maxillaire), la mâchoire inférieure, (mandibule) et le menton.
Les fragments osseux sont ensuite « fixés » (ostéosynthèse) par des mini plaques et vis en titane. La consolidation osseuse est obtenue en 6 semaines, la cicatrisation des gencives se fait en une quinzaine de jours, après résorption des points de suture. Les interventions de chirurgie orthognathique peuvent se réaliser seules ou se combiner entre elles.
Elles nécessitent quasi systématiquement une préparation orthodontique de 6 mois à 1 an et demi en pré opératoire, puis de 3 à 6 mois en post opératoire de façon à obtenir une occlusion dentaire la plus stable possible. La durée d’hospitalisation est en moyenne d’1 à 2 nuits, dans le service de chirurgie de la Polyclinique de l’Europe à Saint-Nazaire.
Les suites opératoires habituelles et les soins post-opératoires
Ces interventions sont peu douloureuses mais caractérisées par un certain inconfort en postopératoire lié à l’œdème du visage, à la perte provisoire de sensibilité au niveau des lèvres, des joues et du menton.
Il est nécessaire de prévoir une alimentation molle pendant 1 mois en postopératoire. Une hygiène bucco dentaire soignée est indispensable (brossage des dents, bains de bouche) afin d’éviter les infections au niveau des cicatrices endo-buccales. Un arrêt de travail de 15 jours à 1 mois est à prévoir après l’intervention, les activités physiques à risques de choc facial devront être évitées pendant 1 mois ½.
Afin de s’assurer de la stabilité du résultat, des élastiques seront mis en place au niveau de l’appareil orthodontique de façon à maintenir les dents serrées durant la consolidation osseuse de 6 semaines.
Ces élastiques pourront être retirés pour les repas et les soins de bouche. Des consultations de suivi auront lieu en postopératoire avec le chirurgien maxillofacial et l’orthodontiste ainsi que le matériel d’ostéosynthèse (plaques et vis) pourront éventuellement être retirés 1 an après l’intervention.


















